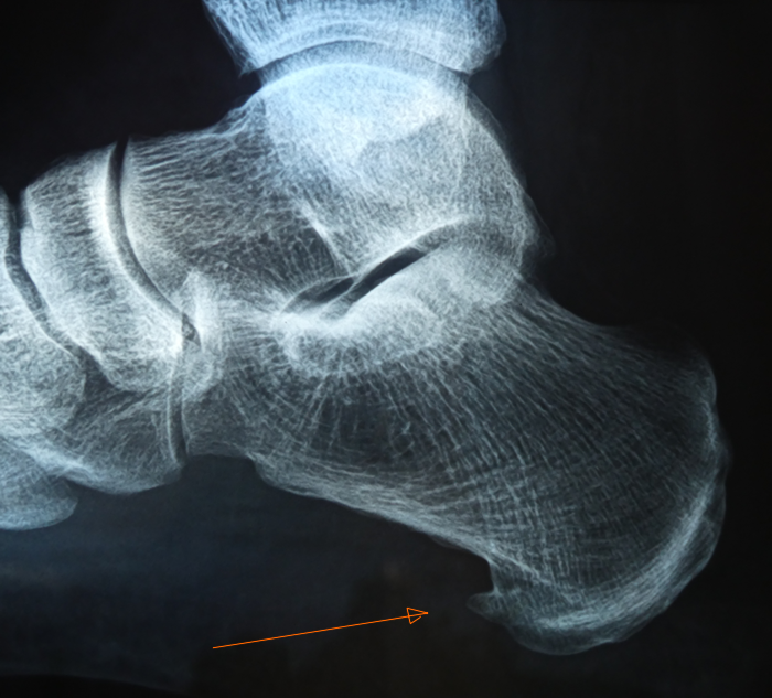
Fersensporn I | |
Der Fersensporn ist eine dornartige Kalkablagerung oder eine Verknöcherung der Sehne. |
|
Er bildet sich an der unteren oder oberen Ferse. |
|
Unterer Fersensporn |
|
Ursache oft längere Überbelastung des Fußgewölbes. |
|
Die Schmerzen beginnen in der Regel mit dem ersten Schritt am Morgen. |
|
Heftige, stechende Schmerzen treten beim Stehen und Gehen auf. |
|
In Ruhestellung lassen die Schmerzen nach. |
|
Oberer Fersensporn |
|
Ursache durch Überlastung des Sehnenansatzes und bei Druckstellen an der Ferse. |
|
Fersensporn kann mit Entzündungen, mit Schwellungen und Rötungen auftreten. |